down pink plain arrow down black plain arrow

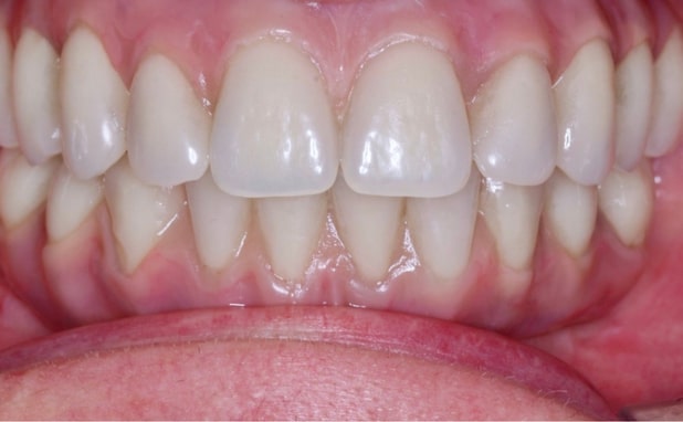
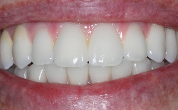
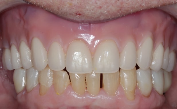
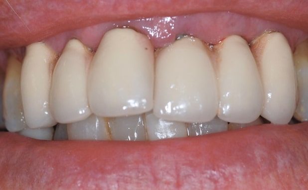
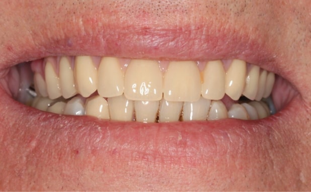
A permanent, natural-looking solution for replacing all your teeth

Regain your smile and confidence with a full arch of fixed dental implants.

At The Campbell Clinic in Nottingham, we specialise in full arch and full mouth dental implant reconstructions, helping patients move on from dentures and rediscover a confident, stable smile.

Whether you’re missing all your teeth in one jaw or both, our highly experienced team will build a personalised treatment plan designed around your goals, health, and lifestyle.

Why Choose Full Arch Implants?

  • Permanent & stable: No more loose dentures – enjoy fixed teeth that stay in place.
  • Natural look & feel: Tailored to match your smile, giving you confidence every day.
  • Improved function: Eat, chew, and speak with ease again.
  • Preserves bone & facial structure: Implants help maintain jawbone density and facial shape.
  • Long-term peace of mind: With good care, your new teeth can last for decades.
  • 10-Year Guarantee: We’re proud to offer one of the UK’s most comprehensive dental implant guarantees on many treatments.
    For more information regarding this treatment
    Contact Us Or CALL US 01159 823 913
    Back to Dental Implants

    Get in touch

    Take the first step toward a healthier, more confident you.

    Book an Appointment

    Your Full Arch Treatment Options

    We’ll talk you through each option during your consultation, but here’s a quick overview:

    • Conventional Dentures
      Removable acrylic teeth with no implants. Least stable but most affordable.
    • Implant-Retained Dentures
      Secure your denture with 2–4 implants. Still removable, but far more stable.
    • Bar-Retained or Removable Bridgework
      Implant-supported removable options with enhanced support and function.
    Book Your Appointment

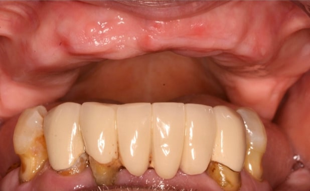
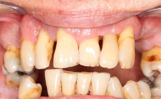
    What Is Full Arch Dental Implant Treatment?

    • Fixed Bridgework (All-on-4/All-on-6)
      A full arch of teeth permanently fixed to 4–6 implants. High stability and aesthetics.
    • Immediate Implants (“Same Day Teeth”)
      Teeth placed on the same day as your implants – available in carefully selected cases.

    Full arch dental implant treatment replaces all the teeth in either your upper or lower jaw using a series of dental implants. We also offer full mouth reconstructions for patients who need to restore both jaws. The implants act as secure anchors for a custom-made set of teeth that look, feel, and function like natural teeth, helping you eat, speak, and smile with renewed confidence.

    Book Your Appointment

    At The Campbell Clinic, we have placed thousands of dental implants and regularly support patients looking for a stable, long-term alternative to dentures or failing teeth. Our team includes clinicians with extensive experience in full arch and full mouth cases, supported by advanced diagnostic tools, digital planning, and the trusted Straumann® dental implant system.

    From your first visit to your final result, we’ll tailor every part of your treatment to suit your health, goals, and lifestyle, with clear communication and full support at every stage.

    Book Your Appointment

    What to Expect

    Every case is different, but your journey typically involves:

    1. Initial Consultation
      We’ll assess your dental health, take 3D scans, and talk you through the most appropriate treatment options.
    2. Treatment Planning
      We design a fully personalised plan, based on your goals and clinical needs.
    3. Surgery & Temporary Teeth
      If suitable, you may receive temporary fixed teeth on the same day as your implants (immediate loading).
    4. Healing & Final Restoration
      Once the implants have integrated with your bone (typically 3–6 months), your permanent fixed teeth will be fitted.
    Book Your Appointment
    The Campbell Clinic

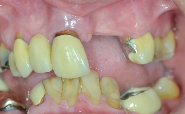
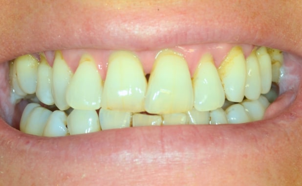
    This treatment may be suitable if:

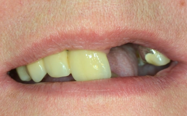
    • You’ve lost all or most of your teeth in one or both jaws.
    • You’re unhappy with loose or uncomfortable dentures.
    • Your remaining teeth are failing and need to be removed.
    • You want a fixed, long-term alternative to removable dentures.

    We’ll always be honest about whether this is the right treatment for you and offer alternatives if it’s not.

    Book Your Appointment
    The Campbell Clinic
    • Extensive experience with full arch and full mouth cases.
    • Full diagnostics and digital planning included.
    • Straumann® implant systems for long-term results.
    • 10-Year Guarantee on many treatments.
    • Sedation is available for a calm, comfortable experience.
    Book Your Appointment

    Frequently asked questions

    Got questions? we’ve got answers

    How long does full arch implant treatment take?

    It varies. In some cases, teeth can be placed the same day (known as “immediate loading”), while in others, the process may take 3–6 months to allow for healing before the final teeth are fitted.

    Is the procedure painful?

    The procedure is carried out under local anaesthesia and sedation if needed. Most patients report minimal discomfort and are surprised by how manageable the recovery is.

    Am I suitable for full arch implants?

    Most people are, but we’ll assess your medical history, bone levels, and oral health to ensure the treatment is safe and appropriate for you.

    What if I don’t have enough bone for implants?

    We may recommend a bone graft or use advanced techniques like zygomatic implants in some cases. We’ll discuss this during your consultation.

    How much does full arch implant treatment cost?

    Costs vary depending on the type of restoration and the number of implants. We offer different pricing levels, and we’ll provide a full breakdown after your assessment.

    Will I be left without teeth at any point?

    In many cases, we can provide a temporary set of teeth on the same day as implant placement, so you’re never left without a smile.

    Online Booking
    FAQs Thumb

    Start Your Smile Transformation.

    Replacing a full arch of teeth is one of the most life-changing things we do, and it starts with a simple conversation. Book your consultation today and take the first step toward a secure, confident smile.

    Click the button below to Book Your Full Arch Consultation.

    Start My Journey

    Our partners

    Google Rating
    4.9
    Google Rating
    Google-review