
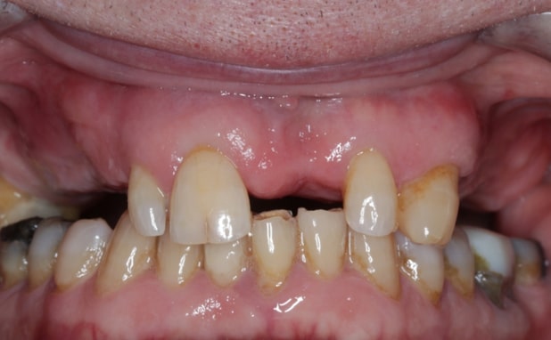
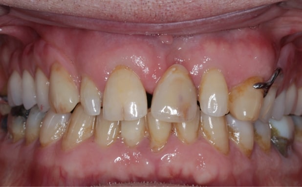
If you struggle with loose, uncomfortable dentures, you’ll know how much it affects your day-to-day life, from the foods you avoid to the confidence you lose in conversations or photographs.
At The Campbell Clinic in Nottingham, we offer implant-retained dentures: a secure, comfortable, and natural-looking way to replace many missing teeth. It’s not just a denture, it’s a more stable, confident way to live.
Unlike traditional dentures that rest on your gums, implant-retained dentures are anchored in place by a small number of dental implants fitted into the jawbone. The result? A dramatically more stable, comfortable, and secure fit, without the need for adhesives or the worry of slipping at the wrong moment.
We’ll help you decide on the best option during your assessment.
Back to General DentistryYou might be a good candidate if:
If you’re unsure, we’ll guide you through your options at your consultation.
See how our treatments create beautiful, confident smiles.
Explore smile galleryTreatment typically takes around 6 months from consultation to final denture fitting. This includes planning, implant healing, and custom denture construction.
Yes – we use high-quality materials to match your desired shape, size, and shade. Your new teeth will be designed to enhance your smile, not just restore it.
With proper care and maintenance, the implants themselves can last decades. The dentures may need replacing over time, much like standard prosthetics, but last considerably longer due to the stability of the implants.
Most patients experience only minor discomfort following implant placement, managed easily with over-the-counter medication. Sedation is available for nervous patients.
Daily cleaning and regular dental check-ups are essential. We’ll show you exactly how to maintain your dentures and implants for long-term success.
At The Campbell Clinic, we combine experience, advanced techniques, and Straumann implant systems to help you feel confident again.
Book your implant denture consultation today.
Book Your Appointment