down pink plain arrow down black plain arrow

Teeth Whitening in Nottingham

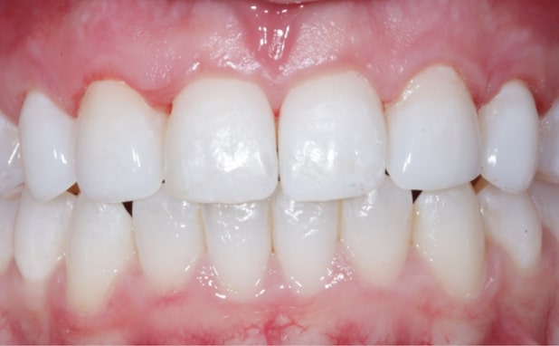
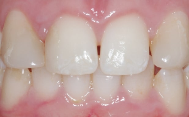
Professional results. A brighter smile. All under professional care.

If your teeth have dulled with age or lifestyle, professional whitening is one of the quickest, easiest ways to enhance your smile. At The Campbell Clinic, we use the Advanced Dental Whitening system, a trusted, dentist-led approach that delivers noticeable, natural-looking results with minimal sensitivity.

This treatment is designed for people who want to whiten safely, effectively, and with the guidance of an experienced dental team.

Why Choose Advanced Dental Whitening at The Campbell Clinic?

  • Safe, dentist-supervised whitening with custom trays.
  • PAP+ gel for gentle, low-sensitivity whitening.
  • Comfortable at-home treatment over 2–3 weeks.
  • Subtle, natural-looking brightness.
  • Long-lasting results with ongoing support from our team.
For more information regarding this treatment
Contact Us Or CALL US 01159 823 913
Back to Cosmetic Dentistry

Get in touch

Take the first step toward a healthier, more confident you.

Book an Appointment

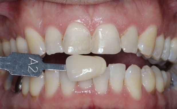
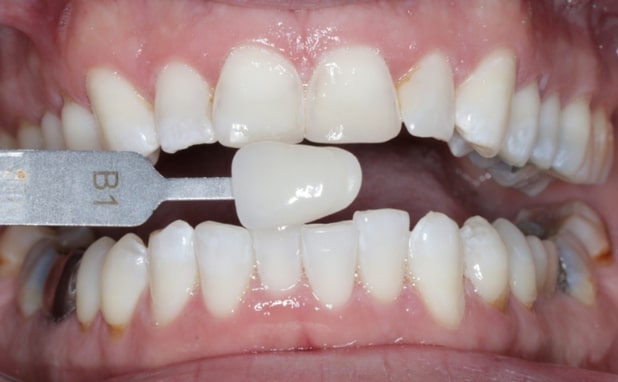
How the Treatment Works

  • Suitability check & consultation
    We begin with a full dental health check to make sure whitening is safe and appropriate for you. We’ll explain the process and answer all your questions.
  • Custom-made whitening trays
    We take digital scans or impressions of your teeth to create thin, comfortable trays that fit precisely — ensuring even, effective results.
  • At-home whitening routine
    You’ll apply the Advanced Dental Whitening gel at home for 2–3 weeks. The gel gently lifts deep stains while protecting your enamel.
Book Your Appointment
  • Optional in-practice boost
    In some cases, your treatment can be finished with an in-practice top-up session for enhanced results.
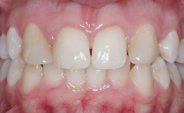
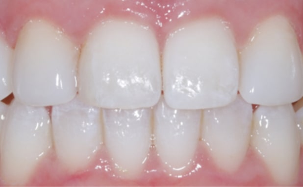
  • Results & follow-up care
    You’ll begin to see your smile brighten after just a few days, with full results appearing around week three. We’ll guide you on how to maintain your results long-term.

You’ll begin to see your smile brighten after just a few days, with full results appearing around week three. We’ll guide you on how to maintain your results long-term.

Book Your Appointment

Is Teeth Whitening Right for Me?

Whitening is a great option if:

  • You have healthy teeth and gums.
  • You want to brighten teeth discoloured by ageing, food, drink or smoking.
  • You’re looking for safe, natural-looking results, not an “unnatural white”.
  • You want professional care with no shortcuts or gimmicks.

If whitening isn’t the right fit, we’ll be honest, and we’ll always suggest suitable alternatives.

Book Your Appointment

What Makes The Campbell Clinic Different?

  • We take the time to understand your goals.
  • All whitening is carried out to GDC and CQC standards.
  • You’ll be supported before, during and after treatment.
  • Our advice is always clear, ethical and pressure-free.
Book Your Appointment

Frequently asked questions

Got questions? we’ve got answers

How much does teeth whitening cost?

You can find out about our fees here. Teeth whitening is a cosmetic treatment and is available at our Nottingham dental practice.

Does teeth whitening hurt?

Most patients find teeth whitening completely comfortable. The Advanced Dental Whitening system we use is specially formulated to reduce sensitivity, using a non-peroxide PAP gel that’s gentle on your teeth and gums. Some people may experience mild, temporary sensitivity, but it usually settles quickly and can be managed easily at home.

How long does treatment take?

Simply wear the tray while you sleep and let the active ingredients penetrate your dental enamel, achieving a stunning and long-lasting brightness in just three weeks.

Can I whiten my teeth at home?

Yes – whitening is carried out using your custom trays at home, with dentist supervision throughout.

Will my crowns, veneers, or fillings change colour?

Whitening treatments will not affect the colour of your existing restorations.

Can anyone have teeth whitening?

You must be 18 years old or over and have had a full dental examination by a dentist.

Is teeth whitening permanent?

Results are long-lasting, but not permanent. Top-ups may be recommended every 6–12 months depending on your diet, lifestyle, and maintenance.

Is teeth whitening safe?

Yes. When prescribed and supervised by a dentist, Advanced Dental Whitening is safe and effective. The PAP+ gel is enamel-friendly and peroxide-free.

How white will my teeth get?

Results vary between individuals, but Advanced Dental Whitening is designed to lift stains and brighten your teeth several shades while still looking natural.

Online Booking
FAQs Thumb

Let’s Brighten Your Smile Together

Teeth whitening is a simple, effective way to feel great about your smile again, and it starts with a no-pressure consultation at our Nottingham clinic.

Start My Whitening Journey

Our partners

Google Rating
4.9
Google Rating
Google-review