down pink plain arrow down black plain arrow

Ceramic Braces in Nottingham

Discreet, effective fixed braces – designed to blend in beautifully.

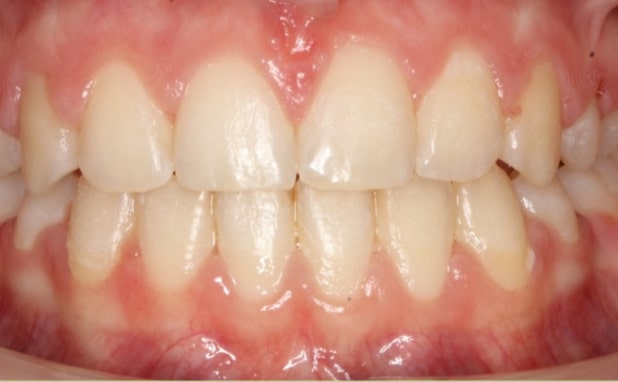
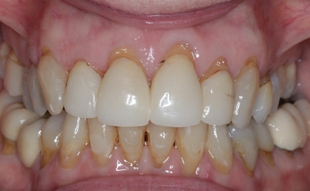
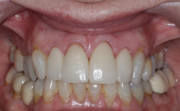
If you’re considering braces but want something less visible than traditional metal braces, ceramic braces might be the perfect choice. At The Campbell Clinic in Nottingham, we offer high-quality ceramic braces that combine precision with subtlety, giving you the confidence to straighten your teeth without drawing attention to your treatment.

Why Choose Ceramic Braces?

  • Barely noticeable
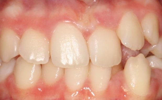
    The brackets are clear or tooth-coloured, designed to blend in with your natural teeth. Ideal if you’d prefer a more discreet way to straighten your smile.
  • Effective and reliable
    Ceramic braces work just like traditional metal braces, but with a softer look. They’re precise, predictable, and suitable for treating a wide range of orthodontic cases.
  • Durable and stain-resistant
    The ceramic material is strong and made to last. Our systems are designed to resist staining throughout treatment with proper care.
  • Customisable options
    Prefer something more playful? You can choose coloured bands for a personalised touch, great for younger patients or anyone who wants to express their style.
  • Designed for adults and teens
    Ceramic braces are especially popular with adult patients who want subtle treatment but aren’t suitable for clear aligners like Invisalign.

How Ceramic Braces Work.

At your consultation, we’ll take a digital scan of your teeth and create a treatment plan tailored to you. Ceramic braces use clear or tooth-coloured brackets, which are bonded to your teeth and connected with a thin wire. Over time, small adjustments gently guide your teeth into the right position.

At The Campbell Clinic, we use trusted systems like Clarity™ ceramic braces, known for their low profile, comfort, and excellent aesthetics. Most treatments last between 12 and 24 months, depending on your goals and how complex the case is.

We’ll see you every 6–8 weeks to make adjustments, check progress, and support you every step of the way.

For more information regarding this treatment
Contact Us Or CALL US 01159 823 913
Back to Orthodontics

Get in touch

Take the first step toward a healthier, more confident you.

Book an Appointment

What Makes Us Different?

  • Experienced clinicians providing orthodontic care tailored to you.
  • Clear advice and treatment plans explained in full before you decide.
  • Supportive environment with no pressure to proceed.
  • Flexible appointments designed around your schedule and lifestyle.
  • Trusted Nottingham clinic with a strong reputation for patient care.
Book Your Appointment

Am I Suitable for Ceramic Braces?

Ceramic braces could be a great option if:

  • You’d like a more discreet alternative to metal braces.
  • You’re not suitable for Invisalign due to bite issues or complex movement.
  • You have healthy teeth and gums.
  • You want a fixed, low-profile brace that delivers great results.

We’ll always discuss the pros and cons, and if another option is better suited to your goals, we’ll let you know.

Book Your Appointment

Frequently asked questions

Got questions? we’ve got answers

How long will I wear ceramic braces?

Most people wear braces for 12–24 months, depending on the complexity of the movement needed. We’ll provide you with a clear timeframe during your consultation.

Will they hurt?

You might feel some mild soreness or rubbing in the first few days. This is normal and temporary. We’ll show you how to manage it and provide relief wax if needed.

Will they stain?

The ceramic brackets themselves won’t stain, but the elastic bands can discolour with certain foods and drinks. Don’t worry — we change them at every adjustment visit.

Can I choose colours?

Yes! You can keep it subtle or add colourful bands to make it your own. The choice is yours.

Can I have ceramic braces on both upper and lower teeth?

Usually, we only recommend ceramic brackets on the upper teeth to avoid wear against the lower teeth. We’ll explain all this in detail at your consultation.

How do I keep them clean?

We’ll show you exactly how to brush and floss with braces. Using interdental brushes and regular hygiene visits will help keep your teeth and brackets clean.

What if a bracket breaks?

It happens! Just call us, we’ll arrange a quick appointment to fix it and get you back on track.

Online Booking
FAQs Thumb

Start Your Smile Straightening Journey

If you’re ready to explore ceramic braces in Nottingham, we’d love to help. Book a no-pressure consultation and get expert advice from our experienced team.

Book Your Appointment

Our partners

Google Rating
4.9
Google Rating
Google-review